Implantes de Zirconio: Innovación dental para sonrisas perfectas
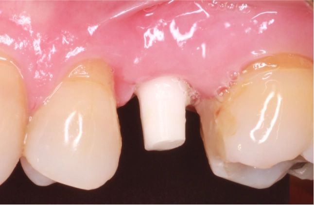
Los implantes de zirconio son una innovación revolucionaria en implantología dental diseñados para combinar biocompatibilidad excepcional y estética de alto nivel. Gracias a su composición cerámica también eliminan los riesgos asociados a los metales, como las alergias o la corrosión.


Beneficios de los implantes de Zirconio: Una solución Biocompatible y Estética
Descubre las ventajas únicas de los implantes de zirconio, una solución innovadora diseñada para transformar tu sonrisa. Gracias a su excepcional biocompatibilidad, estos implantes se integran perfectamente con los tejidos naturales, minimizando los riesgos biológicos al minimizar el acúmulo de placa y la infiltración inflamatoria adyacente a los implantes y consecuentemente disminuir el riesgo de enfermedades periimplantarias.
¿Porqué elegir la clínica Lobato&Brinkmann para los implantes de zirconio?
Conoce por qué Lobato&Brinkmann es la elección ideal para tus implantes de zirconio. Liderados por la experiencia del Dr. Brinkmann, combinamos tecnología de última generación con un enfoque completamente personalizado. A su vez la experiencia clínica (más de 1000 implantes cerámicos colocados) viene acompañdo por múltiples investigaciones publicadas a nivel internacional en el campo de la implantología tanto convencional como cerámica.

Colocación de los implantes de zirconio
Preguntas frecuentes sobre los implantes de zirconio
En la clínica Lobato&Brinkmann estaremos encantados de aclararte todas tus dudas sobre los implantes de zirconio: su durabilidad, coste s, proceso de recuperación y mucho más. Si tienes cualquier duda, puedes consultar nuestras FAQs, contactar con nosotros por teléfono o email, o rellenar el siguiente formulario.
Formulario de Contacto

Clínica Lobato&Brinkmann: Conoce todos nuestros servicios dentales
Con una ubicación privilegiada en el barrio de la Guindalera de Madrid, Lobato&Brinkmann se ha consolidado como una clínica de referencia en el sector odontológico, ofreciendo tratamientos personalizados y de alta calidad.